Una donna di 36 anni si presenta con improvviso abbassamento del viso sul lato destro, emiparesi destra e disartria.

È a 6 settimane dal parto con una storia medica passata che include porpora trombocitopenica immune (ITP), ipertensione e sindrome di Ehlers-Danlos.

Alla presentazione, le sue piastrine sono 139.

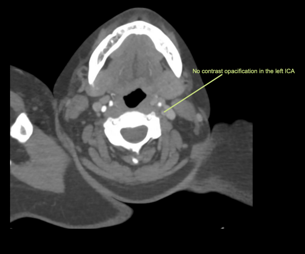
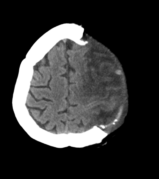
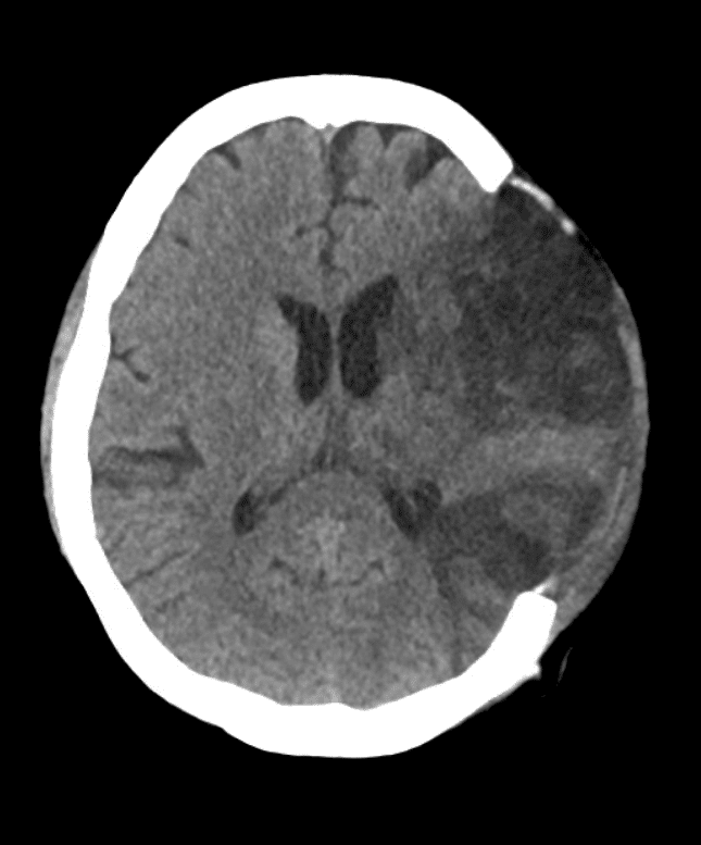
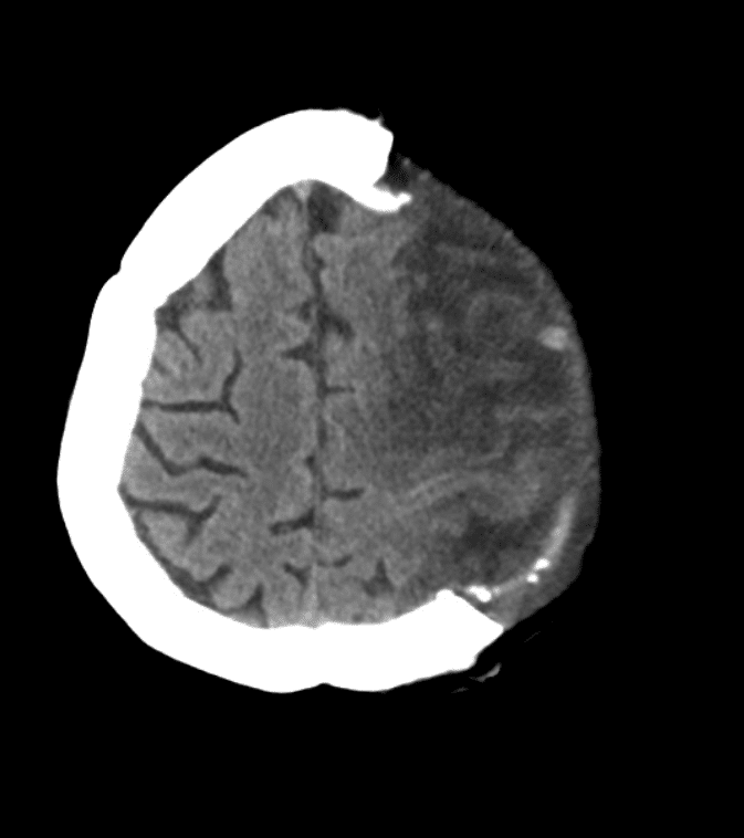
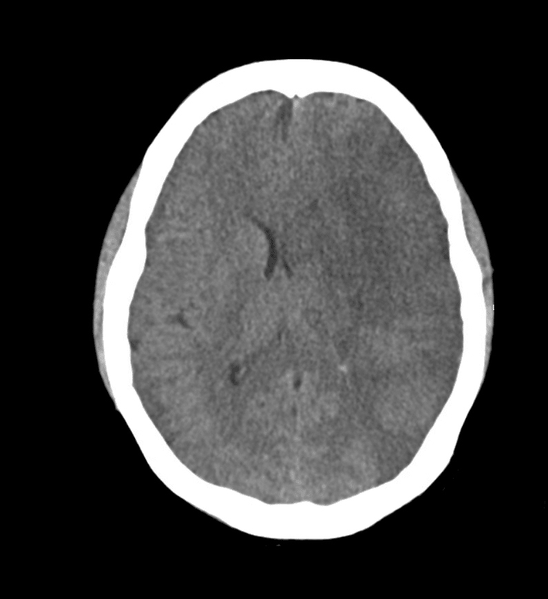
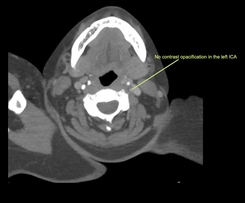
Vengono eseguiti una TAC cerebrale, un angiogramma e una scansione della perfusione cerebrale.

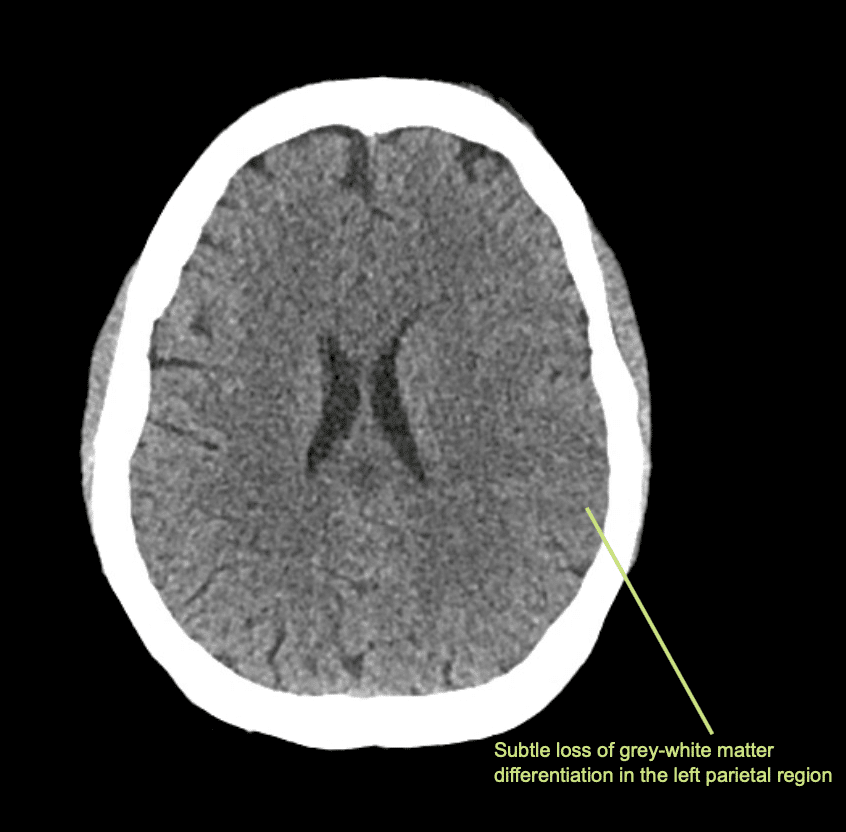
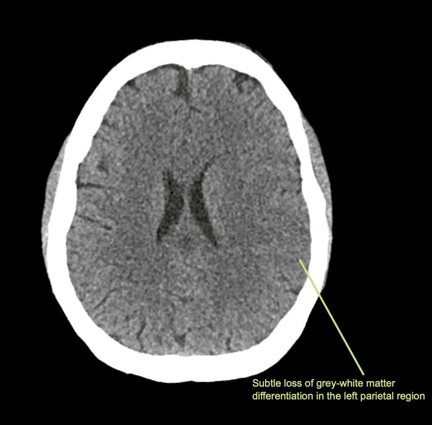
Descrivi e interpreta la TAC
Interpretazione della TAC

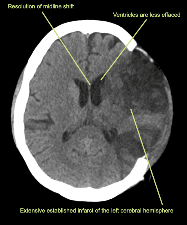
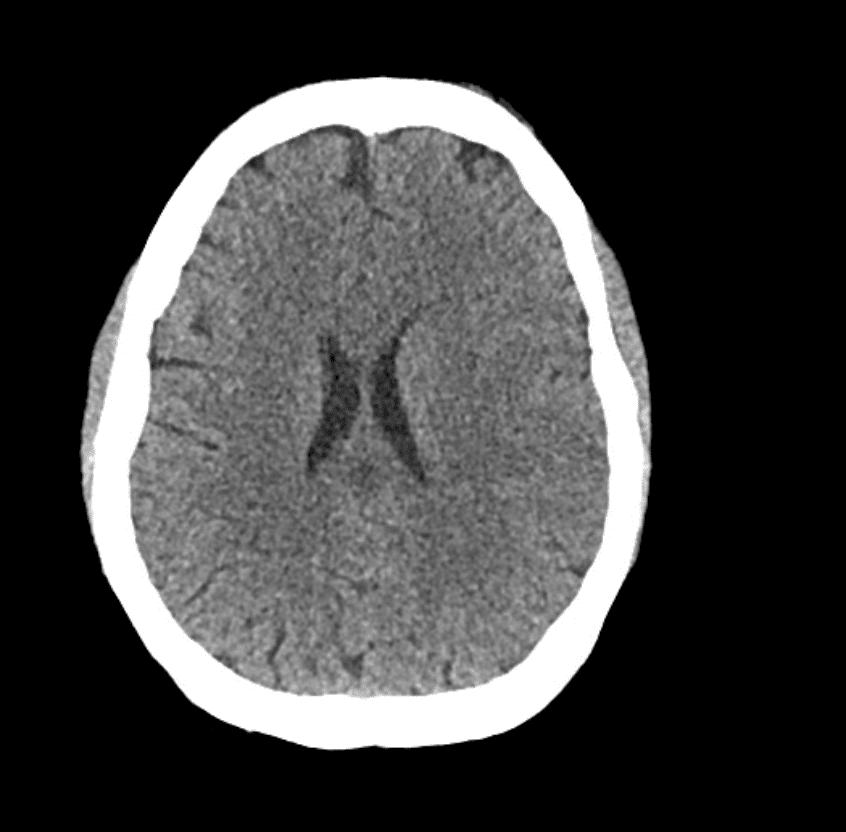
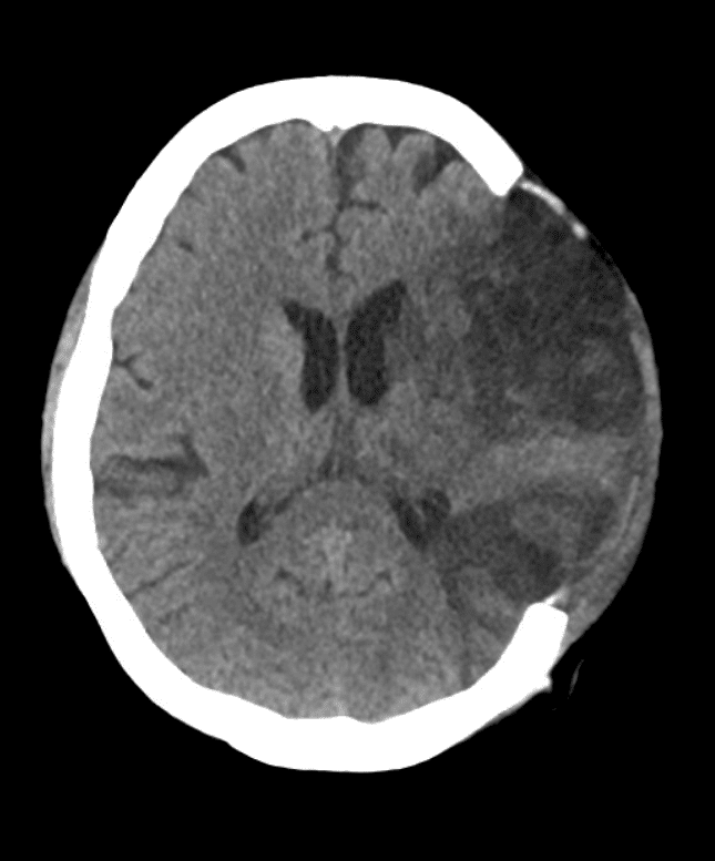
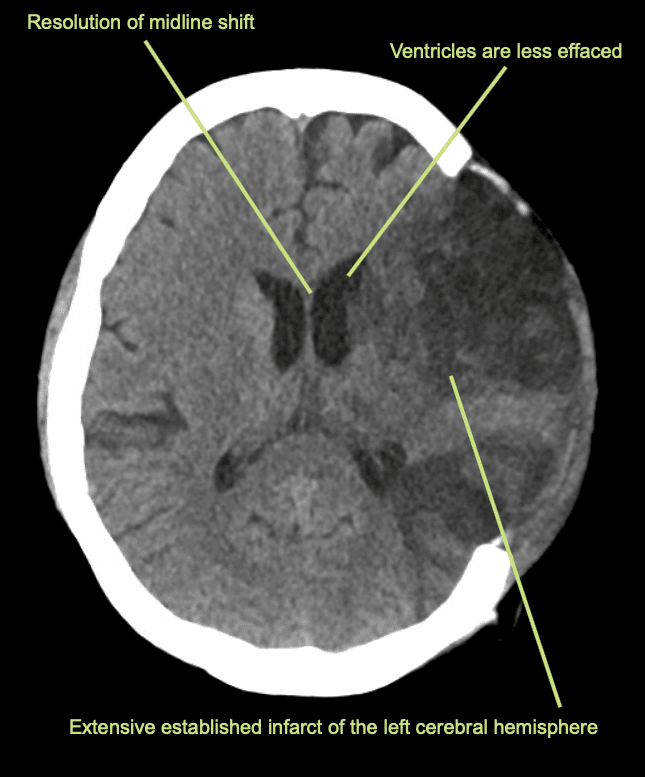
Il giorno successivo viene eseguita una TAC di controllo.


Interpretazione della TAC a 24 ore
Immagini post operatorie
Perle Cliniche

Riferimenti