Una donna di 27 anni si presenta con 1 giorno di respiro affannoso che si è verificato spontaneamente.


Descrivi e interpreta questa RX al torace

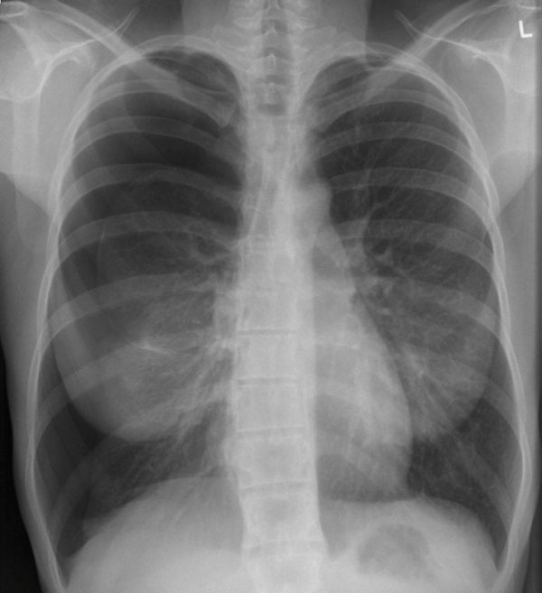
INTERPRETAZIONE DELLA RADIOGRAFIA AL TORACE

C’è un pneumotorace sul lato destro con collasso dei lobi superiore e inferiore. Il parenchima polmonare visualizzato sembra normale.


CORRELAZIONE CLINICA

Questo è un pneumotorace spontaneo primario di dimensioni moderate

La maggior parte si risolverà senza intervento, anche se nel contesto di dispnea sintomatica è ragionevole considerare un trattamento.


PERLE CLINICHE

L’aspirazione con ago (14-16 G) è efficace quanto i drenaggi toracici di grande calibro (>20 F) e può essere associata a una riduzione del ricovero e della durata del soggiorno.